Multiple Hereditary Exostosis (MHE)

multipleh-hereditary-exostosis-MHE

Multiple Hereditary Exostosis (MHE): Causes, Symptoms, and Treatment

🦴 Multiple Hereditary Exostosis (MHE): Understanding a Rare Bone Disorder

🔍 What is Multiple Hereditary Exostosis (MHE)?

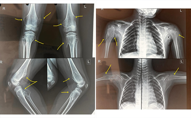
Multiple Hereditary Exostosis (also known as Hereditary Multiple Osteochondromas) is a rare genetic bone disorder characterized by the growth of multiple benign bone tumors, called osteochondromas or exostoses. These growths typically develop near the growth plates of long bones (like the femur, tibia, and humerus) during childhood and adolescence.

🧬 Cause:

MHE is an autosomal dominant disorder, meaning a child has a 50% chance of inheriting it if one parent carries the gene. Most cases are linked to mutations in the EXT1 or EXT2 genes, which affect normal cartilage and bone development.

🧒 Who is Affected?

- Symptoms usually begin between ages 2 to 10.
- Males are slightly more commonly affected than females.
- Family history is common, but some cases may result from new (de novo) mutations.

⚠️ Common Signs & Symptoms:

- Painless, hard lumps near joints or along long bones
- Bowing of limbs (especially forearms and legs)
- Short stature or limb length discrepancies
- Limited joint movement or stiffness
- Nerve or blood vessel compression (in severe cases)
- Pain or discomfort, especially during growth spurts
- Rarely, transformation into malignant chondrosarcoma (1–5% of cases)

🩻 Diagnosis:

- Clinical examination and detailed family history
- X-rays to visualize exostoses
- MRI or CT scans for evaluating deeper or symptomatic tumors
- Genetic testing for EXT1/EXT2 mutations can confirm diagnosis

💊 Treatment & Management:

- Observation if asymptomatic
- Surgical removal of exostoses if they cause pain, limit motion, compress nerves/vessels, or deform bones
- Orthopedic monitoring during growth years
- Physical therapy for mobility and function
- Regular screening to monitor for signs of malignant transformation

🧠 Living with MHE:

While MHE can cause physical and emotional challenges, early diagnosis and multidisciplinary care can significantly improve quality of life. Regular orthopedic follow-up is essential, especially during periods of rapid growth.

Restoring mobility, restoring life.🤞🏽✌️🤞🏽✌️

#bonehealth #rarediseaseawareness #orthopedic #geneticdisorder